快速导航
医学美容
血管瘤
色斑
雀斑
胎记
痘印
白发
酒糟鼻
日晒伤
红血丝
毛周角化
皮肤瘙痒症
干燥综合症
常见皮肤病
湿疹
水痘
鸡眼
荨麻疹
扁平疣
毛囊炎
手足口病
皮炎
寻常疣
皮肤过敏
带状孢疹
顽固性皮肤病
痤疮
脚气
狐臭
白癜风
牛皮癣
红斑狼疮
过敏性紫癜
斑秃
鱼鳞病
硬皮病
黄褐斑
皮肌炎
真菌性皮肤病
灰指甲
甲沟炎
体癣
手足癣
花斑癣
扁平苔藓
性传播疾病
尖锐湿疣
其他皮肤病
痒疹
疥疮
痱子
脓包疮
天疱疮
雷诺病
汗疱疹
白塞病
麻风病
皮肤癌
老年斑
玫瑰糠疹
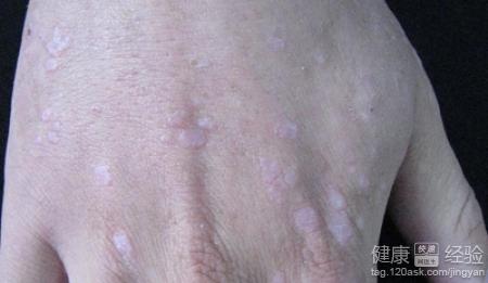
首页 > 常见皮肤病 > 扁平疣 > 扁平疣常识扁平疣是怎么引起的

扁平疣是怎么引起的

2016-11-14 来源:查病网

A-A+
扁平疣是怎么引起的
步骤/方法:

1首先,本质上来说扁平疣属于病毒性疾病,所以导致扁平疣发生的原因就是病毒感染导致,临床上扁平疣的诱发病毒是HPV,也就是人乳头状瘤病毒,所以对于扁平疣的治疗主要是以抗病毒为主。

第1步

2其次,扁平疣可以通过直接方式和间接方式进行传播,导致另外健康人群引发扁平疣的病情。常见的直接传播方式为:接触患处,一般来说人体免疫力低下的时候如果接触病毒就可能导致感染扁平疣。

3最后,扁平疣也可以通过间接接触的方式引起,比如:共用床单、毛巾、内衣、内裤、袜子、拖鞋等进行交叉感染,所以我们一定要独自使用个人的衣物或是卫生用品,避免交叉感染的情况发生。

注意事项:

对于扁平疣而已虽然会通过很多方式进行传播,但是能导致疾病发生是有条件的,导致扁平疣发生的患者多是抵抗力低下的患者,所以日常我们必须多加锻炼,提高自我的抵抗力。

大家都在看
电话咨询 首 页 新的消息